
- この記事の監修者
- 医療法人「建昇会」理事長。歯科医師。愛知学院大学歯学部卒業、日本成人矯正歯科学会会員、日本矯正歯科学会会員、UCLAカリフォルニア大学ロサンゼルス校歯科矯正科修了。
【症例】舌癖による後戻り
2024年01月5日
開咬症例🦷治療経過
今回は症例のご紹介です💁🏻♀️
✅主訴:前歯で噛めない ✅インビザライン治療(抜歯2本)
✅治療期間:2年目(現在治療中)✅加速装置使用
✅治療費:¥1,200,000
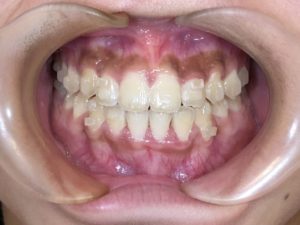
🦷検査時


この患者様は開咬で奥歯以外が全く嚙み合っていない状態です。
前歯で噛むことが出来ない為食事も大変ですね😞
舌癖の影響で開咬となっている為、MFT(口腔筋機能療法)がとても大切となります。
🦷2ヶ月目


下顎のみ2本抜歯を行いました。
アタッチメントを着けて矯正治療スタート!!と同時にMFTも行います🙌🏻
舌が常に下顎にある状態 🌀写真でも分かりやすいですね。
舌を持ち上げるトレーニングからスタートしました👅
🦷4ヶ月目


上下の前歯が少しずつですが近づいて来ていますね💪🏼
この調子💪🏻!!
舌癖はまだまだありますが、意識するだけでも全然違います。
マウスピースの使用をいくら頑張っても舌の力には負けてしまうため、
日々常に気をつけていただく必要があります😿
🦷7ヶ月目


抜歯スペースもかなり埋まりました🙌🏻
MFTをとても頑張って頂き、順調に噛み合わせが良くなっていますね♪
この頃から、写真で見てもわかるように舌が上顎につけられるようになっています👀
🦷1年目

順調!かと思いきやここで再び噛み合わせが開いてきてしまいました😱
少し気を抜くと1か月もせずにここまで開いてしまう事があります!!
恐るべし舌癖、、、
改めてMFTを徹底し、前歯を閉じさせるための顎間ゴムも開始しました💪🏻
🦷1年6か月目


もう一踏ん張り!
数回インビザラインを作り変えここまで綺麗に✨
🦷現在2年目


トレーニングをとっても頑張って頂き、開咬が改善されました💯
途中思うよう進まず辛い時期もあったかと思いますが、
諦めずにトレーニングに協力して頂きました😭
あとは微調整をして終了となりますが、油断は禁物です!
保定期間も乗り越えて綺麗な歯並びを保ってほしいですね☝🏻









