
- この記事の監修者
- 医療法人「建昇会」理事長。歯科医師。愛知学院大学歯学部卒業、日本成人矯正歯科学会会員、日本矯正歯科学会会員、UCLAカリフォルニア大学ロサンゼルス校歯科矯正科修了。
ブライダル矯正を考えている方へ👰🏼
2023年06月27日
症例のご紹介
結婚式、前撮りまでに歯並びを治したい患者様👰
予定日まで1年、ここまで綺麗になりました✨
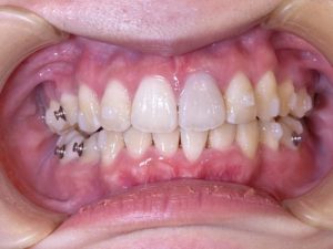
before→



after←



治療内容:マウスピース矯正中
抜歯治療(上下左右4本)
治療費用:¥1,120,000
リスク/デメリット:
舌癖がある方は後戻りのリスクが高い
稀に歯の根っこが短くなることがある
歯周病があると矯正により歯肉退縮が起こる可能性がある
叢生(ガタガタ歯並び)の方は治療後にブラックトライアングルができやすい
知覚過敏が起こる可能性がある
前歯のガタつきが主訴の患者様
抜歯も行いましたが、なんとか結婚式に間に合いました🙄
比べてみると、歯のアーチがとても綺麗になったのがよく分かりますね!
これから噛み合わせの微調整に入ります🦷
矯正治療はもう少し続きますが、1年でこれだけ動かす事も可能です🦷
ただ、マウスピース治療は患者様のご協力あっての事なので 装着時間、顎間ゴム、口腔習癖の改善等
サボってしまうと間に合いません🙇🏻♀️
結婚式、前撮りなどの予定があるため歯並びを治したい!という患者様はたくさんいます☺️
ただ、歯並びによっては1年では完了出来ない場合があります😮
元々矯正治療は、抜歯なしですと平均2年
抜歯ありだと約2年半程お時間がかかります😵💫
抜歯もなくスムーズに進み、1年もかからず完了するケースもありますが、
抜歯ありの場合、急ぐ必要があります💨
とにかく気になっているところを改善させる事を目標として、前から見える所を綺麗にする
事が精一杯な場合もあります🥺
結婚式、前撮り後、噛み合わせをしっかりと
治していくというパターンです💁🏼
1年もあれば、と思うかも知れませんが結構バタバタと大変になる可能性が、、
もしもそのような予定がある場合はできるだけ早く
矯正治療を開始する事をお勧めします🙆🏻♀️
ただ、歯並びは人それぞれ個人差があるため
“もう間に合わないかな〜“と、諦めている方も一度ご相談下さいね🤫
そのような予定のない方も、2年後3年後の未来は分かりません🤫
今のうちに矯正を終わらせてしまいましょう🙌🏻









