
- この記事の監修者
- 医療法人「建昇会」理事長。歯科医師。愛知学院大学歯学部卒業、日本成人矯正歯科学会会員、日本矯正歯科学会会員、UCLAカリフォルニア大学ロサンゼルス校歯科矯正科修了。
抜歯ありでもインビザライン治療できます!🙆♀️ガタガタ歯並び、出っ歯 before→after
2022年11月15日
症例のご紹介です🦷

全体的な歯のガタつき、口元の突出感が主訴の患者様です。
精密検査、診断の結果抜歯を行う方針に決定しました🦷
上下左右計4本歯を抜き、そのスペースを用いてガタつきを改善し
前歯を後ろへ引っ込めていきます🙆♀️
抜歯自体が良くない事と思っている方がとても多いですが
それは違います!
確かに分析の結果抜歯をしてはいけない方もいますが、その逆もありますよ!
歯は「歯槽骨」と言われる骨の上に生えています
歯が大きかったり、顎が小さかったりすると、歯を無理に並べても
歯槽骨というベースの上から歯が溢れている状態になります🙅♀️
歯槽骨から歯が飛び出る事もあります❌
もちろん抜歯をする必要のない患者様に抜歯を薦める事はありませんよ〜
した方が良い方もいるという事です🧐
※口元を引っ込めたい、横顔が気になるという方は歯を抜かないとあまり変化がない場合もあります
5ヵ月目
一時的にブラケットset( 現在は使用していません)

1年目
インビザスタート😊
アタッチメントを付け、本格的に歯を動かしていきます!!
顎間ゴムも併用しています

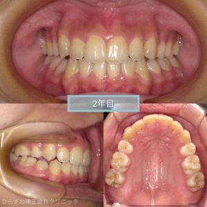
2年目
ガタガタしていた歯は、キレイに並びましたが
噛み合わせが気になりますね😢
噛み癖や舌癖があれば、噛み合わせに影響が出る場合があります🙅♀️

2年6ヵ月目
噛み合わせもバッチリ合いましたね👍

before→after


治療内容:マウスピース矯正
抜歯治療(上下左右4本)
加速装置あり
治療費用:¥1,210,000
リスク/デメリット:舌癖がある方は後戻りのリスクが高い
稀に歯の根っこが短くなることがある
歯周病があると矯正により歯肉退縮が起こる可能性がある
叢生(ガタガタ歯並び)の方は治療後にブラックトライアングルができやすい
知覚過敏が起こる可能性がある









