
- この記事の監修者
- 医療法人「建昇会」理事長。歯科医師。愛知学院大学歯学部卒業、日本成人矯正歯科学会会員、日本矯正歯科学会会員、UCLAカリフォルニア大学ロサンゼルス校歯科矯正科修了。
マウスピース矯正、浮きやすい歯について
2022年04月25日
使用時間が足りなかったりすると必ず浮きが生じてしまいます。
そのなかでも浮きやすい歯についてお話したいと思います。
①抜歯をした方

抜歯した隙間をうめるため隣の歯を動かします
外している時間が長く時間を空けてマウスピースをつけると
歯に負担がいきなりかかりすぎるため歯が倒れてしまいます。
そのため、浮いてしまうことがあります。
これは一番やってはダメなことで
一度倒れてしまうと起こす動きが必要になるため
治療期間が延びてしまう恐れがあります。
②捻れている歯

くるっと捻れている歯は要注意
後戻りしやすく動きにくいので要チェックです
③2番目の歯

前から数えて2番目の歯は隣の歯に比べて
小さいので浮きやすいです。
ゴム掛けをすることで対処できます。
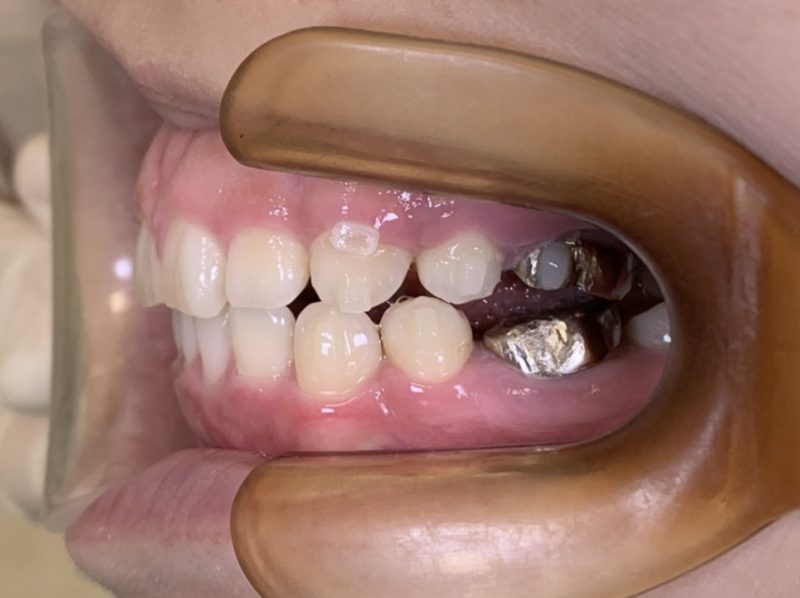
④被せ物の歯

被せ物があるから歯が動かないということはありませんが
被せ物の高さが低い場合など、かなり動きづらいので浮きやすいです。
さらに被せ物の歯はアタッチメントがとてもつきづらいので浮いてしまう理由の一つです。
⑤アタッチメントが外れている

アタッチメントが外れてしまっていると
歯を動かすコントロールがしづらいので浮きやすいです。
被せ物の歯はメタルの場合被せ物を傷つけて
アタッチメントを優先につけることがあります。
(その場合、矯正後被せ物をやりかえてもらうことがあります)
以上が浮きやすいなと思う条件です。
浮くということは
使用時間に問題があるまま
スケジュール通りにすすめてしまっているか
歯が動きづらい場合かどちらかだと思います。
使用時間が足りなかった日がありましたら
交換スケジュールを変更してください。
(数えていた日数をリセットしもう一度1日目から始めます)
交換する時はマウスピースに浮きがないかご自身でチェックしてから
新しいマウスピースに交換する事をおすすめします。









