
- この記事の監修者
- 医療法人「建昇会」理事長。歯科医師。愛知学院大学歯学部卒業、日本成人矯正歯科学会会員、日本矯正歯科学会会員、UCLAカリフォルニア大学ロサンゼルス校歯科矯正科修了。
前歯で噛めない!開咬(かいこう)before→after🦷
2022年07月7日
今回は症例のご紹介です🦷

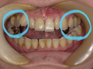
皆さんこの歯並びを見てどう思われますか?
この方は、お口を開いてる訳ではありません。
グッと噛み締めている状態になります🤣
よく見てみると奥歯だけ少し噛み合っているのが分かりますね
横から見るとこんな感じです🙌🏻

この歯並びは、「開咬(かいこう)」という不正咬合です。
前歯が噛み合わないため、食べ物を噛み切る事が難しくなります。
そのため、胃への負担も大きくなってしまうそうです🥲🥲
過去の投稿で、開咬の原因、についてご紹介していますので
そちらもチェックしてみて下さい🙌🏻
https://www.ortho-mouthpiece.com/case/archives/126
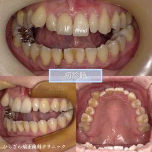
経過の様子
〜初診時〜

この患者様はオペが必要になるレベルの開咬ですが、出来るところまでインビザラインで治したい!
という事でインビザライン治療を開始しました🦷
〜6カ月目〜

上下で4本の抜歯を行いました🤔
通常抜歯は前から4番目、犬歯の隣の小臼歯を抜歯します
以前は抜歯を行ってから少しの間、奥歯にブラケット装置を装着していたため、
まだインビザラインを使用していない状態です
現在はインビザラインのみで治療可能ですよ〜🥰
〜1年3カ月目〜

アタッチメントがつき、インビザライン治療が開始されました🙋🏻♀️
この時は加速装置を使用していなかったため、6、7日に一枚マウスピースを交換していました
同時に舌癖のトレーニング(MFT )も頑張って頂き、
この時点で噛み合わせが良くなっているのが分かりますね🦷✨
ここまでに40枚のマウスピースを使用しています
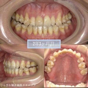
〜2年3カ月目〜

前歯の噛み合わせは完全に閉じましたが、奥歯にまだ隙間がありますね😂
とっても真面目にマウスピースを使用し、舌のトレーニングもして頂いていましたが
元々ある舌癖を治すのは難しいものです、、、
舌が前だけではなく横にも出てくる癖があったため、これまで以上に気をつけて頂きました😵💫
〜治療完了〜

奥歯が噛み合い、アタッチメントを除去しました💁🏻♀️
これまで使用したマウスピースは計170枚、
治療期間は約2年7カ月🦷
治療費用;¥1,210,000
治療は終了しましたが油断は禁物です
舌癖があるため、後戻りに気をつけながらの保定期間を行っている最中です💪🏻
リスク/デメリット:舌癖がある方は後戻りのリスクが高い
稀に歯の根っこが短くなることがある
歯周病があると矯正により歯肉退縮が起こる可能性がある
叢生(ガタガタ歯並び)の方は治療後にブラックトライアングルができやすい
知覚過敏が起こる可能性がある









